Trong thực hành nha khoa hiện đại, sự phát triển mạnh mẽ của implant đã mở ra nhiều giải pháp phục hình tiên tiến. Tuy nhiên, một xu hướng đáng lo ngại đang xuất hiện: nhổ bỏ các răng tự nhiên vẫn còn khả năng phục hồi để thay thế bằng implant. Theo Gordon J. Christensen, đây là một quan điểm cần được xem xét lại một cách nghiêm túc dưới góc độ sinh học, chức năng và hiệu quả lâu dài.
Bảo tồn răng tự nhiên có thể phục hồi
Gordon J. Christensen giải thích vì sao việc phục hồi các răng tự nhiên bị phá hủy thường mang lại hiệu quả vượt trội so với implant, đồng thời chia sẻ các kỹ thuật chuyên môn, lợi ích lâu dài và những kinh nghiệm thực tiễn giúp duy trì sức khỏe răng miệng bền vững.
Tác giả: Gordon J. Christensen, DDS, PhD, MSD
Ngày: 9/4/2026
Thời gian đọc: 5 phút
Điểm nổi bật chính
Việc bảo tồn và phục hồi các răng tự nhiên bị phá hủy có thể mang lại chức năng khớp cắn tốt hơn, chuyển động sinh lý tự nhiên và sự hòa nhập lâu dài trong cung hàm so với implant.
Implant nha khoa có tỷ lệ thành công cao nhưng vẫn tồn tại các nguy cơ như viêm quanh implant, yêu cầu vệ sinh nghiêm ngặt và khó khăn hơn trong việc duy trì lâu dài, đồng thời chi phí cao hơn.
Có nhiều kỹ thuật và vật liệu theo từng bước giúp phục hồi hiệu quả các răng còn sống bị tổn thương, thường với chi phí thấp hơn và ít ảnh hưởng sinh học hơn so với nhổ răng và cấy implant.
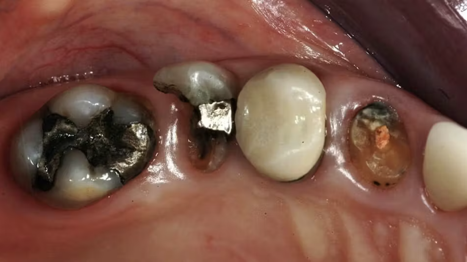
Mô tả ca lâm sàng (Hình 1)
Một góc phần tư hàm với các răng bị phá hủy nặng:
- Răng cối lớn mất hơn một nửa cấu trúc thân răng.
- Răng tiền cối thứ hai không còn khả năng phục hồi.
- Răng tiền cối thứ nhất có thể làm trụ, nhưng cần đánh giá sau khi tháo mão.
- Răng nanh cần điều trị Nội Nha lại và phục hồi bằng chốt – core.
.png)
Câu hỏi lâm sàng
Trong một hội nghị nha khoa gần đây, tôi thấy có xu hướng khuyến khích đặt implant thay vì phục hồi răng bị phá hủy. Điều này khiến tôi lo ngại khi nhiều răng còn sống, có thể phục hồi lại bị chỉ định nhổ bỏ. Quan điểm này có đang được giảng dạy trong trường nha hay đào tạo liên tục không? Độ bền của implant so với răng được tái tạo và bọc mão như thế nào?
Trả lời từ chuyên gia
Đây là câu hỏi tôi nhận được rất thường xuyên từ cả bác sĩ và bệnh nhân.
Implant hiện đang phục vụ rất tốt cho hàng triệu bệnh nhân, nhưng vẫn tồn tại nhiều hạn chế. Hai vấn đề lớn chưa thể kiểm soát hoàn toàn là:
- Viêm quanh implant (peri-implantitis)
- Viêm niêm mạc quanh implant (peri-mucositis)
Các nghiên cứu lâm sàng cho thấy khoảng 50% implant gặp các vấn đề này sau 10 năm.
Thách thức khi bảo tồn răng tự nhiên
1. Bệnh nhân cần cải thiện
vệ sinh răng miệng, nếu không tình trạng phá hủy sẽ tái phát.
2. Một số bác sĩ không quen hoặc không thực hiện kỹ thuật build-up răng.
Răng tự nhiên hay implant – cái nào tốt hơn?
Với hơn 60 năm phục hồi răng và hơn 40 năm đặt implant, tôi nhận thấy có nhiều khác biệt quan trọng, đặc biệt là về khớp cắn và sinh học.
Ưu điểm của răng tự nhiên phục hồi
- Nếu được phục hồi đúng cách (lưu giữ tốt, tủy sống, mão khít, nha chu khỏe), răng vẫn là một phần của hệ thống khớp cắn tự nhiên.
- Răng phục hồi vẫn có chuyển động sinh lý: 25–100 micron hoặc hơn khi ăn
- Trong khi đó, implant chỉ di chuyển 3–5 micron
→ Răng tự nhiên di chuyển nhiều hơn implant từ 10–20 lần
Ý nghĩa lâm sàng
Sự khác biệt này giải thích vì sao:
- Điểm tiếp xúc giữa răng tự nhiên và implant dễ bị hở theo thời gian
- Răng tự nhiên dịch chuyển, còn implant gần như cố định
Hạn chế của implant
- Khó vệ sinh hơn do hình thể mão lớn và cổ implant hẹp
- Nguy cơ viêm quanh implant
- Chi phí và thời gian điều trị cao hơn
Một nghiên cứu của tổ chức Clinicians Report Foundation cho thấy:
- Nhiều bác sĩ vẫn ưu tiên implant + abutment + crown
- Nguyên nhân có thể do:
+ Ít tốn thời gian lâm sàng hơn
+ Doanh thu cao hơn so với phục hồi răng truyền thống
Kỹ thuật phục hồi răng bị phá hủy (tóm tắt)
Điều kiện lý tưởng
Mất khoảng 1/2 thân răng → cần build-up lưu giữ
Không cần điều trị
nội nha (nếu có thể)
Nha chu khỏe
Răng ổn định
Các bước cơ bản
1. Tạo môi trường khô (Isolite, Dry Shield…)
2. Loại bỏ sâu răng ngoại vi
3. Làm sạch phần sâu sâu nhất bằng thìa nạo hoặc mũi khoan chậm
4. Tạo undercut, rãnh lưu giữ, pin tăng cường
5. Etch men nếu còn
6. Dùng chất chứa glutaraldehyde (MicroPrime G, Gluma…)
7. Che tủy gián tiếp (
MTA Flow, TheraCal…)
8. Bonding và chiếu đèn
9. Phục hồi trực tiếp hoặc lấy dấu làm mão
10. Gắn mão bằng
glass ionomer biến đổi nhựa (RelyX Luting, FujiCEM…)
Hình 2:
Tái tạo cùi răng
Hình 3: Gắn phục hình cầu răng sứ
.png)
Hình 4:Hình ảnh trước và sau điều trị
.png)
Kết luận
Kể từ khi implant trở nên phổ biến, một số bác sĩ có xu hướng nhổ bỏ các răng còn có thể phục hồi để thay thế bằng implant. Tuy nhiên:
- Phục hồi răng tự nhiên giúp bảo tồn sinh học và chức năng khớp cắn tốt hơn
- Chi phí thấp hơn, ít xâm lấn hơn
- Vẫn là lựa chọn tối ưu trong nhiều trường hợp nếu chỉ định đúng
Bài viết này nhấn mạnh rằng: giữ lại và phục hồi răng tự nhiên nên luôn là ưu tiên trước khi cân nhắc nhổ và cấy implant.
Tài liệu tham khảo
Száva DT, Száva A, Száva J, Gálfi B, Vlase S. Chuyển động vi mô của implant nha khoa và răng tự nhiên trong quá trình nhai – nghiên cứu in vivo bằng phương pháp VIC 3D. J Pers Med. 2022;12(10):1690. doi:10.3390/jpm12101690
Gordon J. Christensen. Clinicians Report. Tháng 1 năm 2016.
Gordon J. Christensen, DDS, PhD, MSD