Trong nha khoa thẩm mỹ hiện đại, thiết kế nụ cười (Smile Design) không chỉ dừng lại ở việc tạo hình răng đẹp mà còn là sự phối hợp hài hòa giữa bờ cắn – thân răng – mô nướu – môi. Trong đó, xác định đúng vị trí đường viền nướu (gingival margin position) đóng vai trò then chốt, ảnh hưởng trực tiếp đến tính tự nhiên, cân đối và độ bền sinh học của phục hình. Bài viết này cung cấp một quy trình tiếp cận từng bước, giúp bác sĩ nha khoa đánh giá và xác định vị trí đường viền nướu một cách khoa học, dựa trên ảnh lâm sàng, tỷ lệ răng lý tưởng và hệ thống chẩn đoán hiện đại.
Tinh chỉnh quy trình thẩm mỹ của bạn bằng cách làm chủ kỹ thuật thiết kế nụ cười, từ bờ cắn (incisal edge) đến đường viền nướu (gingival margin). Hướng dẫn từng bước này trình bày cách sử dụng ảnh lâm sàng, tỷ lệ răng lý tưởng và các công cụ chẩn đoán nhằm tạo nên những nụ cười tự nhiên và hài hòa.
Christopher D. Mazzola, DDS
Charlie Ward, DDS
Ngày 4 tháng 12 năm 2025 – Thời gian đọc: 3 phút
Những điểm chính cần lưu ý
1. Xác định tỷ lệ răng lý tưởng
Sử dụng vị trí bờ cắn đã được thiết lập để thiết kế đường viền răng với tỷ lệ chiều cao/chiều rộng khoảng 80%, đồng thời đảm bảo đường cong bờ cắn theo sát đường cong môi dưới, tạo nên dòng thẩm mỹ tự nhiên.
2. Cân chỉnh đường viền nướu để đạt sự hài hòa
Mục tiêu là răng cửa giữa và răng nanh nằm trên cùng một mặt phẳng, trong khi răng cửa bên hơi nằm cao hơn về phía thân răng (coronal), nhằm duy trì tính đối xứng và sự bộc lộ nướu tự nhiên.
3. Đánh giá mức độ lộ nướu và chẩn đoán
Xác định các trường hợp “cười hở lợi” (lộ nướu ≥ 4 mm) và sử dụng các hệ thống chẩn đoán như Global Diagnosis để lập kế hoạch can thiệp phẫu thuật hoặc chỉnh nha khi cần thiết.
Nội dung chi tiết
Trong bài viết trước, chúng tôi đã đề cập đến tầm quan trọng của ảnh tư thế nghỉ (repose photo) và việc xác định vị trí bờ cắn. Câu hỏi tiếp theo đặt ra là: Sau đó chúng ta sẽ làm gì?
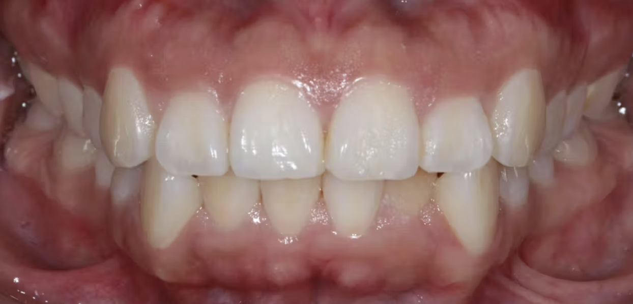
Sau khi xác định được vị trí bờ cắn từ ảnh repose, chúng ta chuyển sang ảnh cười hoặc ảnh mặt trước khi banh môi (hình 1 và 1a). Hãy cùng đi qua từng bước.
Hình 1

Hình 1a

Ảnh cười và ảnh banh môi vùng răng trước đều có thể được sử dụng để xác định vị trí đường viền nướu. Nếu đường viền nướu dự kiến không nhìn thấy rõ trên ảnh cười, hãy sử dụng ảnh banh môi để lập kế hoạch.
Thiết kế hình dạng răng lý tưởng
Dựa trên vị trí bờ cắn đã xác định, chúng ta có thể vẽ phác thảo hình dạng răng lý tưởng trên ảnh cười hoặc ảnh banh môi (hình 2 và 2a). Có nhiều công cụ hỗ trợ cho bước thiết kế này; chúng tôi thường sử dụng Trios Smile Design, hoặc đơn giản là Keynote hay PowerPoint.
Chúng tôi ưu tiên sử dụng tỷ lệ chiều cao/chiều rộng 80%, dựa trên chiều rộng hiện có của răng. Các nghiên cứu cho thấy tỷ lệ từ 70% đến 90% đều được xem là có tính thẩm mỹ.
Nếu có khoảng trống giữa các răng trước cần được lấp đầy, chúng tôi thường bắt đầu với chiều dài 10 mm và chiều rộng 8 mm cho răng cửa giữa. Sau đó tiếp tục vẽ răng cửa bên và răng nanh, thậm chí cả răng tiền cối nếu cần (hình 2b), đặc biệt hữu ích khi đánh giá trên ảnh cười toàn bộ.
Mục tiêu là bờ cắn của nhóm răng trước hàm trên đi theo đường cong của môi dưới (hình 3).

Hình 2: Tỷ lệ răng đề xuất cho răng cửa giữa với tỷ lệ cao/rộng 80%

Hình 2a: Phác thảo đường viền răng trước trên ảnh cười

Hình 3: Đường cười với bờ cắn răng trước tương ứng với đường cong môi dưới
Đánh giá và xác định vị trí đường viền nướu
Trong nụ cười toàn phần lý tưởng, đường viền nướu của răng trước hàm trên nên nằm sát bờ dưới của môi trên (hình 4).
Những nụ cười tự nhiên thường lộ một phần mô nướu, trái ngược với nụ cười “nhân tạo” chỉ thấy răng mà không thấy nướu. Điều này đặc biệt quan trọng khi thiết kế hàm giả toàn phần, phục hình hybrid, nhằm tạo diện mạo tự nhiên hơn.
Về mặt thẩm mỹ lý tưởng, răng cửa giữa và răng nanh nên có đường viền nướu ngang bằng nhau, trong khi răng cửa bên hơi cao hơn (hình 5).
Trong thực hành lâm sàng, không phải lúc nào cũng đạt được lý tưởng này, do đó hãy cố gắng giữ đường viền nướu của hai răng cửa giữa bằng nhau và duy trì tính đối xứng tối đa giữa răng cửa bên và răng nanh.

Hình 4: Đường viền nướu lý tưởng của răng trước hàm trên nằm gần bờ dưới môi trên khi cười toàn phần

Hình 5: Vị trí đường viền nướu lý tưởng: răng cửa giữa và răng nanh cùng mặt phẳng, răng cửa bên hơi coronal
Khi nào cần can thiệp phẫu thuật hoặc chỉnh nha?
Khi vẽ các hình dạng răng lý tưởng, chúng ta có thể nhận thấy rằng đường viền nướu mới sẽ không thể đạt được nếu không có phẫu thuật nướu hoặc di chuyển răng.
Một câu hỏi quan trọng cần đặt ra là:
“Bệnh nhân này có cười hở lợi hay không?”
Chúng tôi xem lộ nướu từ 4 mm trở lên là cười hở lợi. Khi đó, cần tiến hành chẩn đoán chính xác để xác định con đường đạt được đường viền nướu mong muốn.
Các hệ thống như Global Diagnosis của Bill Robbins và Jeff Rouse là công cụ rất hiệu quả để đi đến chẩn đoán và lập kế hoạch điều trị phù hợp. Nội dung này sẽ được trình bày chi tiết hơn trong các bài viết tiếp theo.
Chúng tôi hy vọng bài viết này mang lại một điểm khởi đầu vững chắc để bạn đánh giá và thiết kế các ca thẩm mỹ nha khoa của mình.
Lưu ý của biên tập viên:
Bài viết này đã được đăng trong ấn bản in tháng 11/12 năm 2025 của tạp chí Dental Economics. Các nha sĩ tại Bắc Mỹ đủ điều kiện nhận bản in miễn phí.
Kết luận
Xác định đúng vị trí đường viền nướu là một bước cốt lõi trong thiết kế nụ cười hiện đại. Khi được thực hiện một cách có hệ thống – bắt đầu từ vị trí bờ cắn, tỷ lệ răng, đường cười đến đánh giá cười hở lợi – bác sĩ nha khoa có thể:
- Tạo ra những nụ cười tự nhiên, hài hòa
- Lập kế hoạch điều trị chính xác, hạn chế chỉnh sửa về sau
- Nâng cao giá trị chuyên môn trong các ca thẩm mỹ phức tạp
Đây không chỉ là kỹ thuật thiết kế, mà còn là tư duy điều trị thẩm mỹ toàn diện mà mỗi bác sĩ nha khoa nên làm chủ.
Nha Khoa Mall tự hào là đơn vị tiên phong và đáng tin cậy trong lĩnh vực cung cấp vật liệu nha khoa và thiết bị nha khoa tại Việt Nam. Với sự tận tâm, chuyên nghiệp và không ngừng cải tiến, chúng tôi cam kết mang đến những sản phẩm và dịch vụ tốt nhất, góp phần nâng cao chất lượng điều trị nha khoa tại Việt Nam. Trân trọng!
NHA KHOA MALL - SIÊU THỊ VẬT LIỆU NHA KHOA ONLINE
Địa chỉ: 167/14A Sư Vạn Hạnh, Phường 2, Quận 10, TP. HCM
Website: https://nhakhoamall.com/
Fanpage: https://www.facebook.com/nhakhoamall