Các tổn thương di căn trong khoang miệng là tình huống hiếm gặp nhưng mang giá trị lâm sàng quan trọng. Đặc biệt, khi bệnh nhân có tiền sử ung thư nguyên phát, việc nhận diện sớm tổn thương nghi ngờ ác tính trong xương hàm hoặc mô mềm miệng là yếu tố then chốt để chẩn đoán và tiên lượng. Bài viết này trình bày một ca lâm sàng điển hình: khối u di căn vùng sau hàm dưới bên phải ở bệnh nhân nữ 71 tuổi, có tiền sử ung thư nội mạc tử cung, nhằm cung cấp thêm dữ liệu tham khảo cho bác sĩ nha khoa trong thực hành lâm sàng.
Thông tin bệnh nhân và triệu chứng ban đầu
-
Bệnh nhân: Nữ, 71 tuổi, da trắng.
-
Chuyển tuyến: Được nha sĩ tổng quát giới thiệu xin ý kiến thứ hai.
-
Triệu chứng chính: Đau hàm dưới bên phải kéo dài 6 tuần, kèm tê môi dưới cùng bên. Xuất hiện khối u sau răng số 31, to nhanh trong 2 tuần gần đây.
-
Tiền sử y khoa:
-
Béo phì bệnh lý, tăng cholesterol máu, tăng huyết áp.
-
Bệnh mạch vành.
-
Ung thư nội mạc tử cung, đã điều trị bằng hóa trị và xạ trị cách đây 14 tháng.
Điểm đáng chú ý là bệnh nhân từng được khám chuyên khoa phẫu thuật miệng, chụp X-quang nhưng chưa phát hiện bất thường. Khi khối u hình thành, bệnh nhân tiếp tục tìm ý kiến thứ hai.
Khám lâm sàng
-
Khối tròn đường kính 2,5 cm, màu hồng xám, vị trí phía sau răng số 31.
-
Mô u dễ chảy máu, không đau khi ấn.
-
Răng số 31 lung lay độ II, đau nhẹ khi gõ.
-
Không có sưng ngoài mặt, không phồng xương khi ấn.
-
Không hạch cổ.
-
Dây thần kinh V3 bên phải có dị cảm khi kiểm tra.
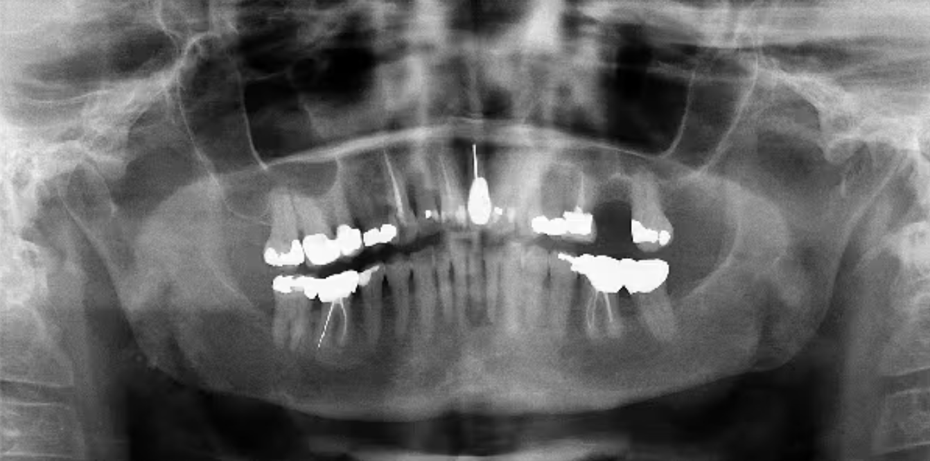
Hình ảnh X-quang Panorex: vùng thấu quang 2–3 cm, bờ mờ, nằm ở thân sau và ngành lên hàm dưới, lan đến răng số 31.

Chẩn đoán phân biệt
-
Ung thư biểu mô tế bào vảy vùng retromolar trigone.
-
Ung thư biểu mô tế bào vảy trung tâm.
-
Tổn thương di căn khoang miệng.
-
U hạt sinh mủ.
-
Nhiễm trùng khoang miệng.
Sinh thiết và kết quả cận lâm sàng
Sinh thiết tổn thương được thực hiện ngay lần khám đầu tiên. Đồng thời, bệnh nhân được hội chẩn với bác sĩ ung bướu và chỉ định chụp PET/CT.
-
Kết quả mô bệnh học: Di căn từ ung thư nội mạc tử cung.
-
PET/CT: Nhiều ổ di căn ở gan, động mạch chủ ngực và cột sống.
Bàn luận
1. Đặc điểm lâm sàng của tổn thương di căn khoang miệng
-
Di căn khoang miệng thường đến hàm dưới nhiều hơn hàm trên, và xương hàm nhiều hơn mô mềm.
-
Biểu hiện ban đầu thường mơ hồ: đau, tê môi hoặc đau kiểu thần kinh.
-
Khi tổn thương phát triển, có thể thấy: răng lung lay không tương xứng với bệnh nha chu, tổn thương giống ổ nhổ răng chậm lành, hoặc khối u mô mềm mới xuất hiện.
-
Đa số khối u di căn trong miệng không loét, không đau khi ấn.
2. Hình ảnh X-quang
-
Giai đoạn sớm: có thể không phát hiện tổn thương trên phim Panorex.
-
Giai đoạn tiến triển: hình ảnh phá hủy xương dạng lytic hoặc “mọt gặm” (moth-eaten), bờ không rõ.
3. Nguyên nhân và cơ chế
-
Tế bào ác tính di chuyển theo đường máu đến xương hàm hoặc mô mềm.
-
Các ung thư nguyên phát thường gặp: vú, phổi, thận, ít gặp hơn là tử cung.
-
Tỉ lệ phát hiện thấp có thể do nhiều trường hợp bị bỏ sót ở giai đoạn cuối.
4. Chẩn đoán xác định
-
Sinh thiết là tiêu chuẩn vàng.
-
Sau đó, cần làm PET/CT hoặc PET scan để đánh giá mức độ lan tràn toàn thân.
Hướng điều trị và tiên lượng
Tiên lượng: Rất xấu. Di căn khoang miệng đồng nghĩa với bệnh đã tiến triển nặng, khó phẫu thuật triệt căn.
Kết luận
Tổn thương di căn khoang miệng là tình trạng hiếm gặp nhưng cần được bác sĩ nha khoa lưu ý, đặc biệt ở bệnh nhân có tiền sử ung thư nguyên phát. Triệu chứng ban đầu có thể mơ hồ như đau âm ỉ, tê môi, răng lung lay bất thường. Sinh thiết và chẩn đoán hình ảnh chuyên sâu là chìa khóa xác định bệnh.
Ca bệnh này nhấn mạnh vai trò quan trọng của nha sĩ trong việc nhận diện sớm các dấu hiệu nghi ngờ ác tính, giúp bệnh nhân được chẩn đoán và điều trị kịp thời, đồng thời phối hợp liên chuyên khoa với bác sĩ ung bướu để đưa ra kế hoạch chăm sóc toàn diện.
Tài liệu tham khảo
-
Neville BW, Damm DD, Allen CM, Bouquot JE. Bệnh lý miệng và hàm mặt (Oral and Maxillofacial Pathology). Philadelphia, PA: Saunders; 2002:582-583.
-
Marx RE, Stern E. Bệnh lý miệng và hàm mặt: Cơ sở lý luận cho chẩn đoán và điều trị (Oral and Maxillofacial Pathology: A Rationale for Diagnosis and Treatment). Hanover Park, IL: Quintessence; 2003:822-825.