Trong thực hành nha khoa, chẩn đoán tình trạng tủy răng là bước quan trọng để quyết định hướng điều trị phù hợp. Hiện nay, hai phương pháp được sử dụng phổ biến là xịt lạnh Endo-Frost và máy thử tủy Pulp Tester. Mỗi công cụ có ưu – nhược điểm riêng, và việc lựa chọn phù hợp sẽ giúp bác sĩ đưa ra chẩn đoán chính xác hơn, đồng thời tối ưu chi phí và thời gian trong phòng khám.
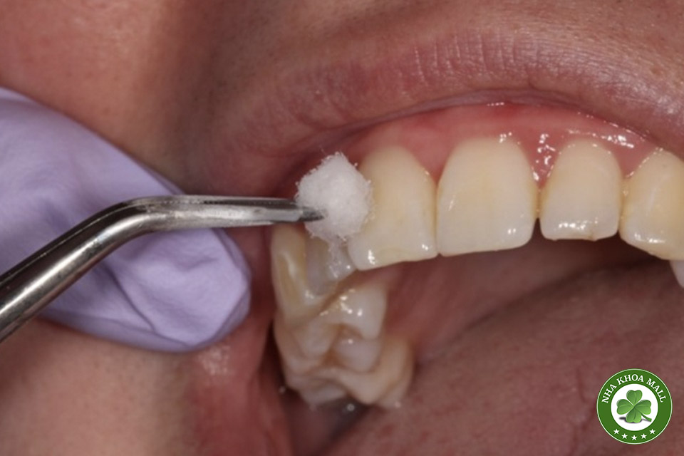
Xịt lạnh Endo-Frost (Hình chim cánh cụt)
Đặc điểm và ưu điểm:
-
Nguyên lý hoạt động: Sử dụng lạnh nhanh (-50 đến -60°C) để tạo kích thích tủy, từ đó đánh giá phản ứng đau của bệnh nhân.
-
Dễ sử dụng: Chỉ cần xịt trực tiếp vào mặt ngoài răng, tiện mang theo trong các ca khám di động hoặc tại phòng khám.
-
Phản hồi tức thời: Phản ứng đau sẽ xuất hiện ngay, giúp xác định răng còn sống tủy hay không.
Nhược điểm:
-
Phụ thuộc cảm giác bệnh nhân: Kết quả không hoàn toàn khách quan, đặc biệt ở những răng đã trám, răng tiêu cổ, răng người lớn tuổi hoặc bệnh nhân giảm cảm giác.
-
Khó áp dụng với răng phục hình phức tạp: Răng sứ, composite hoặc răng cũ có thể dẫn đến kết quả sai lệch.
-
Tốn vật tư: Xịt phải sử dụng thường xuyên cho mỗi ca, chi phí tích lũy theo thời gian.
-
Chỉ cho cảm giác tức thời: Không cung cấp thông tin định lượng về mức độ kích thích hoặc phản ứng tủy.
Nghiên cứu y văn cho thấy test lạnh có thể thiếu độ chính xác lên đến 10-15% ở răng già hóa hoặc răng đã trám, đặc biệt khi so sánh với test điện (Bender, 2000; Pashley, 1996).
.jpg)
Máy thử tủy Pulp Tester
Đặc điểm và ưu điểm:
-
Nguyên lý hoạt động: Sử dụng dòng điện nhẹ để kích thích tủy răng, đo mức phản ứng điện của tủy.
-
Khách quan và ổn định: Không phụ thuộc cảm giác chủ quan của bệnh nhân, giúp xác định tủy sống hay hoại tử một cách chính xác hơn.
-
Tiết kiệm chi phí lâu dài: Không cần vật tư tiêu hao, sử dụng nhiều năm chỉ với chi phí đầu tư ban đầu.
-
Hiển thị mức kích thích rõ ràng: Giúp bác sĩ đánh giá được mức độ nhạy cảm của tủy, từ đó đưa ra quyết định điều trị chính xác.
-
Hữu ích trong các ca khó: Đặc biệt hiệu quả với răng phục hình, răng già hóa, răng nhạy cảm kém hoặc răng có triệu chứng bất thường.
Nhược điểm:
-
Cần làm quen thao tác: Mặc dù dễ sử dụng, nhưng bác sĩ cần hiểu nguyên lý hoạt động và cách đặt điện cực chính xác để tránh sai số.
-
Không phản ứng tức thì như test lạnh: Thời gian đo lâu hơn vài giây so với xịt lạnh, nhưng đổi lại là kết quả khách quan và lặp lại được.
Theo nghiên cứu y văn, pulp tester được đánh giá chính xác hơn xịt lạnh khoảng 20-25% trong các trường hợp răng phục hình hoặc răng già hóa (Hargreaves & Cohen, 2016).

So sánh tổng thể giữa Endo-Frost và Pulp Tester
| Tiêu chí |
Xịt lạnh Endo-Frost |
Máy thử tủy Pulp Tester |
| Nguyên lý |
Kích thích lạnh |
Dòng điện nhẹ |
| Phản hồi |
Tức thì, phụ thuộc cảm giác |
Khách quan, ổn định |
| Độ chính xác |
Thấp hơn, dễ bị sai ở răng trám/răng già |
Cao hơn, đặc biệt ở các ca khó |
| Vật tư |
Tiêu hao, tốn chi phí |
Không tiêu hao, tiết kiệm lâu dài |
| Thời gian |
Nhanh chóng |
Một vài giây lâu hơn |
| Ứng dụng |
Răng bình thường, kiểm tra nhanh |
Răng phục hình, răng già hóa, răng nhạy cảm kém |
Kết luận
-
Endo-Frost vẫn hữu ích trong các ca kiểm tra nhanh, răng bình thường và khi cần phản ứng tức thời.
-
Pulp Tester là lựa chọn tối ưu trong hầu hết trường hợp, đặc biệt là các ca khó: răng đã trám, răng già hóa, răng nhạy cảm kém, răng phục hình. Một lần đầu tư, sử dụng lâu dài, đảm bảo chẩn đoán tủy chính xác và giảm phụ thuộc may rủi.
Như nghiên cứu chỉ ra, kết hợp cả hai phương pháp trong một số trường hợp đặc biệt có thể cải thiện độ chính xác, nhưng nếu chỉ được trang bị một thiết bị, pulp tester là công cụ đáng tin cậy hơn để xác định tình trạng tủy.
Tài liệu tham khảo
-
Bender IB. Assessment of Pulp Vitality in Endodontics. J Endod. 2000;26(9):587–594.
-
Pashley DH. Clinical considerations in pulp testing. J Can Dent Assoc. 1996;62(6):487–492.
-
Hargreaves KM, Cohen S. Cohen’s Pathways of the Pulp. 11th Edition, 2016.
Nếu bạn đang tìm kiếm một nơi cung cấp vật liệu thứ tuỷ chất lượng và uy tín, hãy liên hệ ngay với Nha Khoa Mall. Chúng tôi cam kết cung cấp các sản phẩm giấy chất lượng với giá cả hợp lý và dịch vụ hỗ trợ tận tình. Dưới đây là một số thông tin chi tiết để bạn dễ dàng liên hệ và nhận được sự tư vấn tốt nhất.
- Dịch vụ hỗ trợ khách hàng: Chúng tôi cung cấp dịch vụ hỗ trợ khách hàng chuyên nghiệp, sẵn sàng giải đáp mọi thắc mắc của bạn về sản phẩm.
- Tư vấn sản phẩm: Đội ngũ nhân viên tư vấn giàu kinh nghiệm của Nha Khoa Mall sẽ giúp bạn lựa chọn sản phẩm phù hợp nhất với nhu cầu của bạn.
- Hỗ trợ kỹ thuật: Chúng tôi cung cấp hướng dẫn chi tiết về cách sử dụng, cũng như hỗ trợ kỹ thuật trong quá trình sử dụng.
- Dịch vụ hậu mãi: Cam kết hỗ trợ khách hàng sau khi mua hàng, đảm bảo bạn luôn hài lòng với sản phẩm và dịch vụ của chúng tôi.
- Khuyến mãi định kỳ: Theo dõi website và fanpage để cập nhật các khuyến mãi định kỳ và các chương trình ưu đãi hấp dẫn.
- Đặt hàng và giao hàng: Cung cấp nhiều phương thức đặt hàng linh hoạt và tiện lợi:
- Đặt hàng trực tuyến: Truy cập website, chọn sản phẩm và tiến hành đặt hàng một cách nhanh chóng và thuận tiện.
- Đặt hàng qua điện thoại: Gọi ngay đến hotline 0919.160.589 để được tư vấn và đặt hàng trực tiếp.
- Đặt hàng qua email: Gửi email với thông tin chi tiết về sản phẩm bạn cần mua, chúng tôi sẽ liên hệ lại trong thời gian sớm nhất để xác nhận đơn hàng. email: [email protected] - [email protected]
Nha Khoa Mall tự hào là đơn vị tiên phong và đáng tin cậy trong lĩnh vực cung cấp vật liệu và thiết bị nha khoa tại Việt Nam. Với sự tận tâm, chuyên nghiệp và không ngừng cải tiến, chúng tôi cam kết mang đến những sản phẩm và dịch vụ tốt nhất, góp phần nâng cao chất lượng điều trị nha khoa tại Việt Nam. Trân trọng!
NHA KHOA MALL - SIÊU THỊ VẬT LIỆU NHA KHOA ONLINE
Địa chỉ: 167/14A Sư Vạn Hạnh, Phường 2, Quận 10, TP. HCM
Website: https://nhakhoamall.com/
Fanpage: https://www.facebook.com/nhakhoamall