Hotline

 

chan doan tuy rang

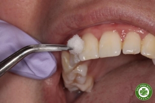
So Sánh Xịt Lạnh và Máy Thử Tủy: Lựa Chọn Hiệu Quả Trong Chẩn Đoán Tủy Răng
Trong thực hành nha khoa, chẩn đoán tình trạng tủy răng là bước quan trọng để quyết định hướng điều trị phù hợp. Hiện nay, hai phương pháp được sử dụng phổ biến là xịt lạnh Endo-Frost và máy thử tủy Pulp Tester. Mỗi công cụ có ưu – nhược điểm riêng, và việc lựa chọn phù hợp sẽ giúp bác sĩ đưa ra chẩn đoán chính xác hơn, đồng thời tối ưu chi phí và thời gian trong phòng khám.