Hotline

 

Vì sao attachment quyết định thành công trong điều trị bằng khay trong suốt?

02/11/2025    347    4.89/5 trong 7 lượt 
Vì sao attachment quyết định thành công trong điều trị bằng khay trong suốt?
Điều trị bằng khay chỉnh nha trong suốt (clear aligner) đã trở thành xu hướng toàn cầu nhờ tính thẩm mỹ, tiện lợi và khả năng lập kế hoạch kỹ thuật số. Tuy nhiên, song song với sự phát triển của các thương hiệu như Invisalign, Angel Aligner, Spark, hay ClearCorrect, nhiều bác sĩ đang phải đối mặt với một “kẻ thù thầm lặng” ảnh hưởng trực tiếp đến hiệu quả và lợi nhuận điều trị: thất bại của attachment.

Thất bại của attachment: “Kẻ ngầm” bào mòn lợi nhuận trong điều trị bằng khay trong suốt

Thiết kế chính xác, vị trí gắn phù hợp và lựa chọn vật liệu đúng đắn cho các attachment trong điều trị khay trong suốt có thể cải thiện đáng kể độ chính xác điều trị, giảm số lần chỉnh sửa, và tối ưu hóa lợi nhuận cho bác sĩ chỉnh nha.
Tác giả: Foroud Hakim, DDS, MBA
Ngày 2 tháng 9 năm 2025 – Thời gian đọc: 6 phút

Tóm tắt chính

- Attachment đóng vai trò then chốt trong việc truyền lực và đảm bảo tính tiên lượng của chuyển động răng trong điều trị bằng khay trong suốt — yếu tố quyết định phần lớn thành công.
- Các thách thức thường gặp bao gồm: dựng hình attachment chính xác, duy trì độ bám và hình dạng, cũng như tháo bỏ mà không làm tổn thương bề mặt răng.
- VOCO Aligner Flow LC mang lại giải pháp Composite chảy có độ bền cao, tính thẩm mỹ tốt, dễ thích ứng với khuôn attachment và liên kết hiệu quả với nhiều loại vật liệu phục hình khác nhau.
- Tính huỳnh quang dưới ánh sáng UVA giúp dễ dàng phát hiện và loại bỏ phần resin thừa, tăng hiệu quả thao tác và kết quả lâm sàng.
- Những tiến bộ trong vật liệu và kỹ thuật dán đang không ngừng cải thiện hiệu quả của attachment, giúp rút ngắn thời gian điều trị và nâng cao sự hài lòng của bệnh nhân.

Bối cảnh và vai trò của attachment trong điều trị khay trong suốt

Sau khi FDA chấp thuận Invisalign năm 1998, và những ca đầu tiên được thương mại hóa tại Mỹ năm 1999, thị trường khay chỉnh nha trong suốt đã bùng nổ. Cùng với đó, hàng loạt thương hiệu cạnh tranh xuất hiện, tạo nên cuộc cách mạng trong lĩnh vực chỉnh nha.

Mặc dù cơ chế sinh học của chuyển động răng – bao gồm tiêu xương ở phía chịu lực và tạo xương ở phía kéo – là như nhau giữa mắc cài truyền thống và khay trong suốt, song thành công của điều trị bằng khay phụ thuộc chủ yếu vào sự hợp tác của bệnh nhân và hiệu quả của attachment.
Trong khi tuân thủ điều trị là yếu tố thuộc về bệnh nhân, thì thiết kế, vị trí và vật liệu của attachment lại hoàn toàn nằm trong tầm kiểm soát của bác sĩ.

Attachment là gì và tại sao quan trọng

Attachment là các khối nhỏ màu răng được dán lên bề mặt răng theo hình dạng hình học nhất định, làm bằng composite resin, có nhiệm vụ tạo điểm neo và định hướng lực của khay.

Các hãng sản xuất khay trong suốt liên tục cải tiến thiết kế attachment. Ví dụ, Invisalign hiện đã phát triển đến thế hệ G8 với các attachment “Smart Force” tối ưu hoá chuyển động răng.
Mỗi hình dạng attachment được thiết kế nhằm tạo ra hướng lực cụ thể giúp răng di chuyển như mong muốn. Nếu hình dạng hoặc vị trí của attachment không chính xác, độ tiên lượng điều trị sẽ giảm, kéo theo thời gian điều trị kéo dài và kết quả không đạt như kế hoạch.

Ba nhóm thách thức chính khi quản lý attachment

  1. Độ chính xác của dựng hình (Rendering accuracy):
    Attachment thực tế có khớp hoàn toàn với thiết kế trong phần mềm hay không? Có bị rỗ, thừa vật liệu hay méo hình không?

  2. Khả năng bám và duy trì hình dạng (Retention & Form stability):
    Attachment có bị bong tróc, mòn, hay biến dạng sau nhiều lần tháo – lắp khay không?
    Liên kết có đảm bảo khi gắn lên bề mặt phục hình như sứ feldspathic, lithium disilicate, hay zirconia không?

  3. Tháo bỏ sau điều trị (Removal):
    Có dễ phát hiện và loại bỏ mà không gây tổn thương men hoặc phục hình không?
    Bề mặt răng có thể được đánh bóng trở lại như ban đầu không?

Khi việc quản lý attachment không hiệu quả, bác sĩ phải thực hiện chỉnh sửa (refinement) hoặc điều trị lại, làm tăng chi phí, kéo dài thời gian, và giảm lợi nhuận. Ngoài ra, sự không hài lòng của bệnh nhân còn ảnh hưởng đến uy tín, truyền miệng và tiếp thị nội bộ của phòng khám.

Giải pháp mới: VOCO Aligner Flow LC

VOCO Aligner Flow LC là vật liệu composite chảy nano-hybrid có tính huỳnh quang dưới ánh sáng UVA, được phát triển nhằm khắc phục các vấn đề trên. Khi kết hợp với keo dán Futurabond U, đây là lựa chọn tối ưu cho bác sĩ trong việc tạo attachment cho khay trong suốt – bao gồm cả trường hợp cần dán lên vật liệu sứ hoặc kim loại.

Ưu điểm nổi bật:

  • Độ chảy tối ưu: Dễ dàng thích ứng với khuôn, tự san phẳng nhưng không bị chảy tràn, giúp tạo hình chính xác.

  • Độ bền cơ học cao: Kết hợp giữa tính linh hoạt của composite chảy và độ cứng của vật liệu nén, giúp attachment duy trì hình dạng lâu dài.

  • Thẩm mỹ vượt trội: Ba tông màu trong suốt (A1, A2, A3) có khả năng “tàng hình”, hòa vào màu răng tự nhiên.

  • Dễ phát hiện và loại bỏ: Nhờ hiệu ứng huỳnh quang, phần resin thừa dễ quan sát dưới đèn UVA, giảm rủi ro làm tổn thương men răng.

Ngoài ra, Futurabond U cung cấp tùy chọn giữa tự etch hoặc etch bằng acid phosphoric, đồng thời chứa silane và 10-MDP, giúp tăng độ bám trên sứ e.max, zirconia và cả phục hình kim loại.

Minh họa lâm sàng

Hình 1: Các dạng và cấu hình attachment được sử dụng trong điều trị bằng khay trong suốt.
Vì sao attachment quyết định thành công trong điều trị bằng khay trong suốt?
Hình 2: Attachment được tạo hoàn hảo trong khuôn bằng Aligner Flow LC.
Vì sao attachment quyết định thành công trong điều trị bằng khay trong suốt?
Hình 3: Đặt chất etch phosphoric (Ultra-Etch, Ultradent) lên bề mặt răng cần dán.
Vì sao attachment quyết định thành công trong điều trị bằng khay trong suốt?
Hình 4: Thoa keo dán Futurabond U.
Vì sao attachment quyết định thành công trong điều trị bằng khay trong suốt?
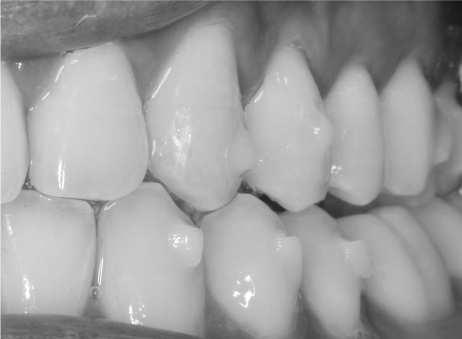
Hình 5: Kết quả attachment cuối cùng có hình dạng chính xác và tính thẩm mỹ cao.
Vì sao attachment quyết định thành công trong điều trị bằng khay trong suốt?

Kết luận

Các sản phẩm và kỹ thuật được trình bày ở trên mang đến giải pháp toàn diện, tiên lượng và nhất quán cho việc tạo attachment trong điều trị khay trong suốt.
Sự chính xác trong thiết kế – dán – tháo bỏ không chỉ giúp giảm thời gian điều trị, tăng độ hài lòng của bệnh nhân mà còn trực tiếp nâng cao lợi nhuận cho phòng khám chỉnh nha.

Nguồn: Dental Economics – Số tháng 9/2025.

Nha Khoa Mall tự hào là đơn vị tiên phong và đáng tin cậy trong lĩnh vực cung cấp vật liệu nha khoa và thiết bị nha khoa tại  Việt Nam. Với sự tận tâm, chuyên nghiệp và không ngừng cải tiến, chúng tôi cam kết mang đến những sản phẩm và dịch vụ tốt nhất, góp phần nâng cao chất lượng điều trị nha khoa tại Việt Nam. Trân trọng!
Nha Khoa Mall - SIÊU THỊ VẬT LIỆU NHA KHOA ONLINE
Địa chỉ: 167/14A Sư Vạn Hạnh, Phường 2, Quận 10, TP. HCM
Website: https://nhakhoamall.com/
Fanpage: https://www.facebook.com/nhakhoamall

dentaleconomics.com