Khám phá quy trình gắn veneer bằng bộ vật liệu Ultradent – giải pháp hiện đại, an toàn và thẩm mỹ cao. Hướng dẫn chi tiết từng bước từ xử lý răng, veneer đến gắn kết vĩnh viễn.
Giới thiệu về bộ vật liệu gắn veneer Ultradent
Mặt dán sứ veneer là một trong những phương pháp thẩm mỹ nha khoa phổ biến, giúp cải thiện màu sắc, hình dáng và nụ cười của bệnh nhân. Để đạt được kết quả bền chắc và tự nhiên, việc lựa chọn đúng vật liệu và tuân thủ quy trình chuẩn là yếu tố quan trọng.
Ultradent – thương hiệu nổi tiếng toàn cầu về vật liệu nha khoa – cung cấp bộ sản phẩm gắn veneer đầy đủ, giúp bác sĩ thực hiện quy trình dán veneer an toàn, chính xác và hiệu quả thẩm mỹ cao.
Các bước sử dụng bộ vật liệu gắn veneer Ultradent
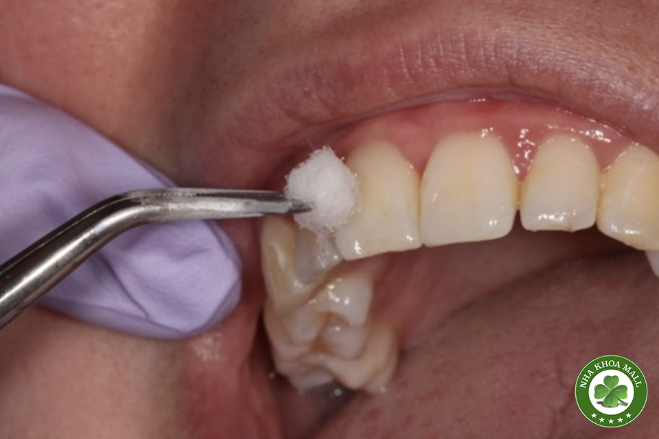
1. Tháo veneer tạm
Loại bỏ veneer tạm đã gắn trước đó.
Làm sạch bề mặt răng bằng dung dịch khử khuẩn cùi răng Consepsis
Kiểm tra mô nướu và chuẩn bị cho bước thử màu.

2. Try-In (thử màu veneer)
Sử dụng Permashade Try-In Paste để thử màu cement.
Lựa chọn màu sắc phù hợp với mong muốn thẩm mỹ.
Sau đó rửa sạch veneer bằng nước và thổi khô.

3. Xử lý mặt trong veneer
a. Tạo vi hình học bề mặt sứ
Thoa Porcelain Etch (axit xói mòn sứ).
Thời gian: 90 giây.
Rửa sạch và thổi khô mạnh.
b. Kháng khuẩn & tăng độ bám
Dùng Ultra-Etch (axit ăn mòn men ngà có chất kháng khuẩn).
Thời gian: 5 giây.
Rửa sạch và thổi khô mạnh.
c. Lót nền hóa học
Thoa Silane (chất lót nền cho sứ).
Thời gian: 60 giây.
Để bay hơi dung môi, thổi khô nhẹ, không rửa lại.

4. Xử lý bề mặt răng
a. Làm sạch và khử khuẩn
Thoa Consepsis Scrub trong 60 giây, rửa sạch và thổi khô.
b. Kiểm soát mô mềm (nếu cần)
Dùng Viscostat Clear để cầm máu nướu.
Đặt Ultrapak Cord để co nướu và lộ rõ đường hoàn tất.
c. Tạo vi hình học bề mặt răng
Thoa Ultra-Etch Acid 35% trong 20 giây.
Rửa sạch và thổi khô nhẹ.
d. Sát trùng bổ sung
Dùng Consepsis Solution trong 30 giây.
Thổi khô nhẹ trước khi bôi chất kết dính.

5. Thoa chất kết dính lên bề mặt veneer
Thoa Peak Universal Bond lên mặt trong veneer.
Thổi khô nhẹ 15 giây.
Không chiếu đèn.
Thoa Peak Permashade LC lên bề mặt răng đã xử lý
Thổi khô nhẹ 15 giây và chiếu đèn quang trùng hợp.

6. Thoa chất kết dính lên bề mặt cùi răng
Thoa Peak Universal Bond lên cùi răng
Thoa 15 giây, thổi khô nhẹ
chiếu đèn

7. Gắn veneer
Đặt veneer lên răng, loại bỏ cement thừa.
Chiếu đèn theo quy trình chuẩn.

8. Hoàn tất
Kiểm tra khớp cắn, tiếp xúc và đường viền.
Đánh bóng để đạt thẩm mỹ tối đa.
Ưu điểm của bộ vật liệu gắn veneer Ultradent
Đầy đủ vật liệu: từ xử lý mô răng, veneer đến cement gắn kết.
Tối ưu độ bám dính: nhờ hệ thống etch, silane và bond.
Đảm bảo an toàn: có bước sát khuẩn và kiểm soát mô mềm.
Thẩm mỹ cao: dễ dàng chọn màu cement phù hợp.
Kết luận
Quy trình gắn veneer bằng bộ vật liệu Ultradent mang lại độ chính xác, tính bền vững và hiệu quả thẩm mỹ cao. Việc tuân thủ đúng từng bước sẽ giúp bác sĩ đạt kết quả tối ưu, đồng thời đem lại cho bệnh nhân nụ cười tự tin và tự nhiên.
.jpg)
Nếu bạn đang tìm kiếm một nơi cung cấp sản phẩm ultradent chất lượng và uy tín, hãy liên hệ ngay với Nha Khoa Mall. Chúng tôi cam kết cung cấp các sản phẩm giấy chất lượng với giá cả hợp lý và dịch vụ hỗ trợ tận tình. Dưới đây là một số thông tin chi tiết để bạn dễ dàng liên hệ và nhận được sự tư vấn tốt nhất.
Dịch vụ hỗ trợ khách hàng: Chúng tôi cung cấp dịch vụ hỗ trợ khách hàng chuyên nghiệp, sẵn sàng giải đáp mọi thắc mắc của bạn về sản phẩm.
Tư vấn sản phẩm: Đội ngũ nhân viên tư vấn giàu kinh nghiệm của Nha Khoa Mall sẽ giúp bạn lựa chọn sản phẩm phù hợp nhất với nhu cầu của bạn
Hỗ trợ kỹ thuật: Chúng tôi cung cấp hướng dẫn chi tiết về cách sử dụng, cũng như hỗ trợ kỹ thuật trong quá trình sử dụng.
Dịch vụ hậu mãi: Cam kết hỗ trợ khách hàng sau khi mua hàng, đảm bảo bạn luôn hài lòng với sản phẩm và dịch vụ của chúng tôi.
Khuyến mãi định kỳ: Theo dõi website và fanpage để cập nhật các khuyến mãi định kỳ và các chương trình ưu đãi hấp dẫn.
Đặt hàng và giao hàng: Cung cấp nhiều phương thức đặt hàng linh hoạt và tiện lợi
Đặt hàng trực tuyến: Truy cập website, chọn sản phẩm và tiến hành đặt hàng một cách nhanh chóng và thuận tiện.
Đặt hàng qua điện thoại: Gọi ngay đến hotline 0919.160.589 để được tư vấn và đặt hàng trực tiếp.
Đặt hàng qua email: Gửi email với thông tin chi tiết về sản phẩm bạn cần mua, chúng tôi sẽ liên hệ lại trong thời gian sớm nhất để xác nhận đơn hàng. email: [email protected] - [email protected]
Nha Khoa Mall tự hào là đơn vị tiên phong và đáng tin cậy trong lĩnh vực cung cấp vật liệu và thiết bị nha khoa tại Việt Nam. Với sự tận tâm, chuyên nghiệp và không ngừng cải tiến, chúng tôi cam kết mang đến những sản phẩm và dịch vụ tốt nhất, góp phần nâng cao chất lượng điều trị nha khoa tại Việt Nam. Trân trọng!
NHA KHOA MALL - SIÊU THỊ VẬT LIỆU NHA KHOA ONLINE
Địa chỉ: 167/14A Sư Vạn Hạnh, Phường 2, Quận 10, TP. HCM
Website: https://nhakhoamall.com/
Fanpage: https://www.facebook.com/nhakhoamall